ツイートに対するネットの反応
愛してやらなくていいんだよ。愛も日々かわっていくし、大人になったら歯みがきに何かと困る。八重歯は劣勢だし、だけど可愛いと思ってそのまま残してる。大事な気持ちが残ってるのが大切なんだよねぇ。
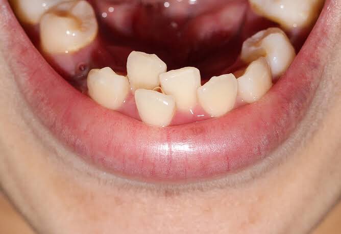
分からんでもないけど、現実においては歯並び悪くて良い事は1ミリも無いし、この歳まで矯正していないのはヤバい
欧米ならとんでもなく貧困なんだと判断される(日本でも一昔前はそうだった)
まぁ漫画だからそれで良いのかもしれんけどね
八重歯可愛い。八重歯可愛いのに、矯正してしまって悲しかったのは十何年前の話だったかな…(山崎まさよしの事何ですけど…虫歯になるし仕方無いんですけど…!!)
話としてはこれで良いんだけど、ガチャ歯は噛み合わせが悪くて体調不良の原因になったり虫歯になりやすいから矯正しておいた方が良いかなとは思う。マンガにマジレスしてもしゃあないんやけど(´・ω・)
歯並び揃ってるのも良いんだけど、八重歯とかガチャ歯とかギズモみたいなギザギザした歯の女性も良い。咬んでもらいたいタイプというか、その場合はあんまり整ってるよりも効果倍増と言うか😁
それはそれは昔の話で…
当時付き合っていた方に、
「ガチャ歯(八重歯のみ)で、矯正したいな」
って呟いたら
「俺は、その歯好きだよ」
って、サラリと返してくれた彼。
それが今の夫ではありません。
アアアアアアアアン(鳴き声)
ウォッ…ウォッ…ウォォォォン(李徴の泣き声)
ソ,ソノコエハ…ワガトモ…リチョウシデハアルマイカ,スルメイカ…?!(邂逅)
イッ,イカニモッ(食い気味)ユリノハドウ…ユリノハドウ…(小声)
ハハッ(乾いた笑い)…ソノスガタニナッテモ,ユリガスキナンダナア(笑)
めちゃくちゃいい話(?)なんだけどこれ、ガチャ歯じゃなくて八重歯なんよ…因みにガチガチャ歯は男女問わず治した方がいい。顎も輪郭も口内環境も良くなるからね
女の子男の子関係なく八重歯フェチだから八重歯矯正してる子見ると悲しくなる😢
可愛いのに八重歯🥺
本人的には磨き辛いし、コンプレックスの人もいるんだろうけどさ😢
笑った時にチラッと見える八重歯が好きなのよ🥺
八重歯ってね犬型猫型ドラキュラ型って十人十色でね、特に猫型八重歯が好(文字数)
最上 灯子【2021年7月25日浅草石フリマ初出店!】@MogamiTohko
歯並びが悪いのでは無く、八重歯の事を言うガチャ歯と言うの?
方言かな🤔
歯並びが悪いなら、矯正は絶対オススメ。
前歯が下がって口閉じれるの最高だし、突き出た歯で唇齧る事故辛すぎたから。
彼氏を理由にじゃ無くって、機能的にしんどいならって言う話だから、
話題とはズレてるね☺️
昔の自分が歯並びで悩んでたの思い出してとてつもなく泣きそう
死にたくなるくらい悩んでたな
今は矯正して口元激変して友達にも変化に気づいてもらえるからすごい嬉しい
約100万かかるいうけど、100万で笑顔増えるなら俺は安いと思うから悩んでる人絶対にやった方がいい。
















































































